Alterações Celulares Reativas Associadas à Inflamação.

Quando o papanicolau mostra que foram encontradas alterações celulares benignas reativas ou reparativas,significa que o colo do útero apresenta sinais de inflamação, provavelmente devido a doenças benignas, sem gravidade.

Segundo o ginecologista Dr. Roberto de Faria o resultado do exame citológico com "Alteraçõescelularesreativasassociadascominflamação" é um resultado normal que normal que não implica intervenção médica.

Quando o papanicolau mostra que foram encontradasalteraçõescelularesbenignasreativasou reparativas, significa que o colo do útero apresenta sinais deinflamação, provavelmente devido a doenças benignas, sem gravidade.

Alterações Celulares Reativas Associadas à Inflamação.

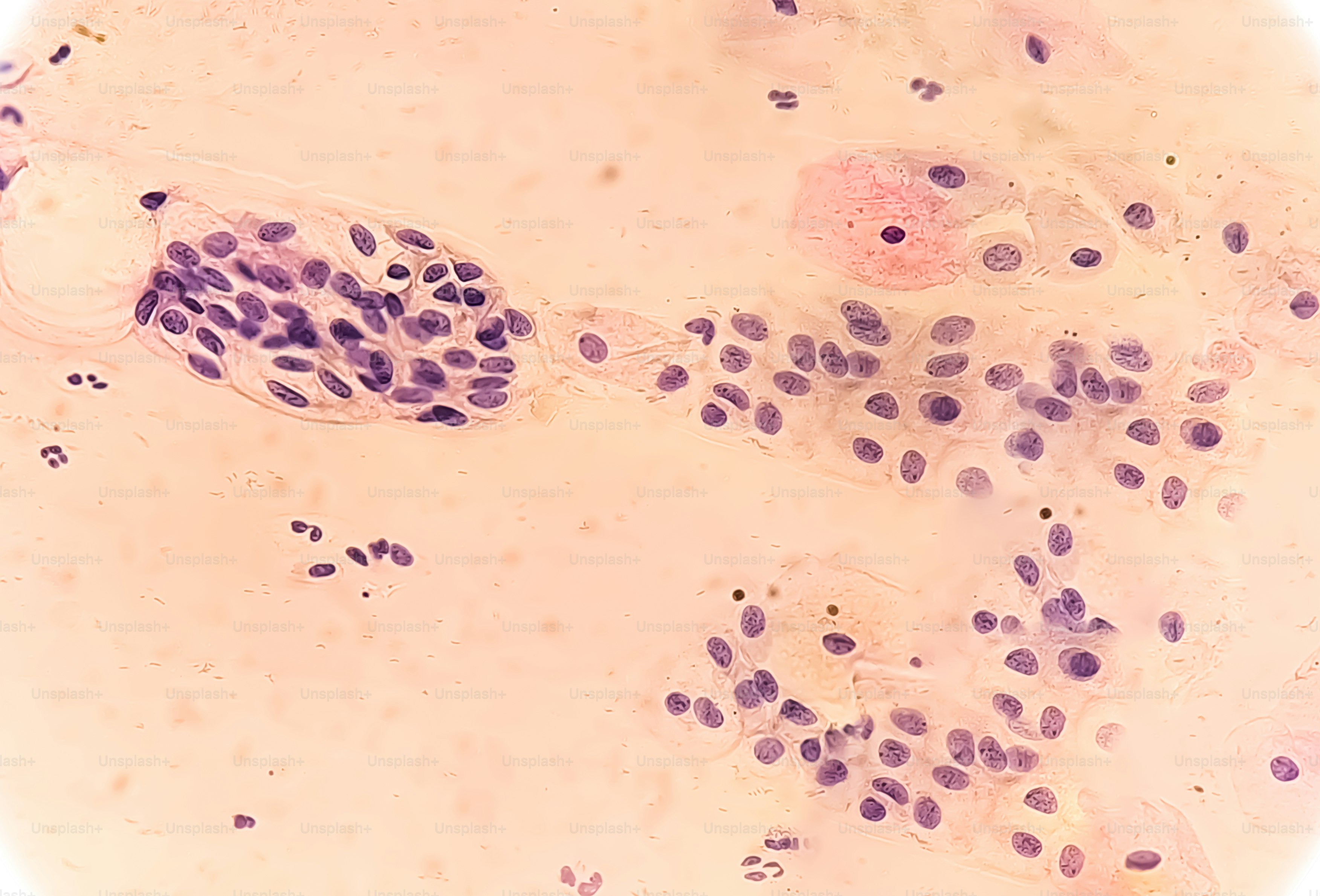
Citologia Cervical: Alterações Celulares Reativas – PathoLovers

Entenda o significado dasalteraçõescelularesbenignasreativasou reparativasinflamaçãoe suas implicações para a saúde. Saiba mais sobre causas e tratamentos.

Alteraçõescelularesreativas.Inflamação(incluindo reparo típico). Atrofia cominflamação. Radiação. Outras.Alteraçõescelularesreativasassociadascom inflamaçãoCritérios Citológicos. Núcleo. Aumento nuclear.

4220 Likes, 188 Comments. TikTok video from Dra Amanda Loretti (@draamandaloretti): “Respondendo a @Tchau HPV, preventivo (papanicolau) e colposcopia #hpv #colposcopia #papanicolau #preventivo #prevencaodecancerdecolodeutero #cancerdecolodeutero #ginecologia #foryou #fy #foryoupage #fyp #draamandaloretti #condiloma #condilomas #verrugagenital”. Alterações celulares reativas e reparativas : inflamação, no preventivo | @draamandalorettisom original - Dra Amanda Loretti.

17 December 2019 -As alterações reativas celulares oriundas de inflamação em células cervicovaginais pelo Papanicolaou apresentaram a seguinte quantificação: citólise escassa em 47 (23,74%), edema nuclear moderado em 71 (35,86%), cariomegalia escassa em 27 (13,64%), binucleação escasso em 70 (35,35%), micronúcleo escasso em cinco (2,52%) e paraqueratose moderada em 47 (23,74%) amostras (Quadro 1 e Figura 1).

Alteraçõesde células benignasreativasou reparativas quer dizer que a paciente está com umainflamaçãolocal.

Quando a lesão persiste, discretos linfócitos e as células plasmáticas migram para a área inflamada e podem ser encontrados no esfregaço em número moderado por entre os polimorfos. Em uma cervicite de longa duração, como a associada à inserção de um pessário vaginal, utilizado no prolapso vaginal em uma mulher na pós-menopausa, o epitélio pode mostrar alterações reativas

Segundo o ginecologista Dr. Roberto de Faria o resultado do exame citológico com “Alteraçõescelularesreativasassociadascominflamação” é um resultado normal que normal que não implica intervenção médica. “Este é um resultado Normal e comum do Papanicolau onde

Essasalteraçõescelularesbenignas geralmente não representam uma ameaça à saúde , mas podem ser um sinal de alerta para a presença de umainflamaçãono corpo.

Alterações celulares benignas reativas ou reparativas: O que são?

Esfregaço de Papanicolaou: NILM com alterações celulares reativas ...

Alterações celulares benignas reativas ou reparativas: O que significa?

Alterações celulares benignas reativas ou reparativas: O que significa?

Da fase de lesão reversível, a célula passará a apresentar asalteraçõesde lesão irreversível, que culminarão na morte celular, mais ou menos rapidamente, dependendo do tipo de célula envolvida, e do tipo, duração e a intensidade do estímulo (estresse patológico).

O que éalteraçõescelularesreativasassociadasàinflamação? As amostras de algumas mulheres também podem mostraralteraçõescelularesreativas, que é a forma como as células cervicais aparecem quando existe infecção ou outrainflamação.

5 August 2024 -“Este é um resultado Normal e comum do Papanicolau onde “alterações celulares reativas” são benignas e associadas ao mecanismo fisiológico vaginal onde há processo de descamação e citólise (troca de células mortas por novas) como renovação e defesa do epitélio cervical/vaginal compondo o corrimento percebido. O termo ” associado a inflamação” Não significa um processo inflamatório como estamos acostumados e sim apenas um corrimento que pode perfeitamente ser fisiológico e normal!

Os critérios abaixo refletem alterações celulares reativas associadas à inflamação incluído um reparo típico, EXCETO.

Entenda asalteraçõescelularesbenignas e o impacto dainflamaçãono seu corpo. Descubra cuidados e tratamentos preventivos eficazes!

For more information, click the button below.

Tags

Altera QuaisquerAlterações AlteraçõesHematologicas PNG AlteraçõesRelevantes AlteraçõesAtmosfericas AlteraçõesVasculares AlteraçõesNos Termos Alterações3 Fases Alteração AlteraçõesAnatomicas Gestantes AlteraçõesElectrocardiográficas Na Anemia AlteraçõesCromossómicas Numericas AlteraçõesDe Âmbito ONU AlteraçõesClimáticas Principais AlteraçõesCrr3 Pinterest Folhetos Informativos TemplatesAlterações Climáticas Em Portugues AlteraçõesClimáticas Sensibilizaçao Combater AlteraçõesClimáticas AlteraçõesClimáticascno Trabalho AlteraçõesClimáticas Consequências AlteraçõesClimáticas Responsabilidade AlteraçõesClimáticas AlteraçõesMorfológicas AlteraçõesCromossômicas Estruturais Alteracoes Climaticasdevastadorasnomundo Alterações CelularesMeme Cão Calendario AlteraçõesSazonais E Climáticas AlteraçõesAmbientais Alteraçõesa Paisagem Geoficas Adaptação AlteraçõesClimáticas AlteraçõesClimáticas Pinterest AlteraçõesClimáticas Publicidad ES AlteraçõesClimáticas Imagens AlteraçõesClimáticas Banner AlteraçõesNa Pele AlteraçõesClimaticas Imagem AlteraçõesAnatômicas No Cérebro AlteraçõesMorfológicas Das Hemácias Imagens+Alterações Climáticas Estro VaginoscopiaAlterações AlteraçõesClimáticas Na Vida Das Pessoas AlteraçõesCromossómicas Estruturais Consequências DasAlterações Climáticas

Author

Carlita

Impulsionado pelo compromisso com a promoção da saúde no ambiente escolar, venho construindo minha trajetória com o propósito de fortalecer práticas de cuidado, prevenção e bem-estar dentro da escola. Busco ampliar ações educativas em saúde e gerar impactos positivos para estudantes, profissionais da educação e toda a comunidade escolar. Ao integrar princípios de educação em saúde, vivências do cotidiano escolar e um diálogo contínuo, desenvolvo iniciativas inovadoras, inclusivas e alinhadas à realidade da escola, respeitando a diversidade de necessidades individuais e contribuindo para um ambiente mais saudável, acolhedor e consciente — blockchain.aueb.gr.