Ateromatose Parietal Calcificada Nas Artérias Carótidas Internas

Aateromatoseé uma doença que causa o acúmulo de gordura e cálcionaparede dos vasos sanguíneos, o que pode interferir no fluxo de sangue e no suprimento de oxigênio do corpo e levar ao infarto. "A carência de oxigênio causará sofrimento ou até mesmo a morte das células relacionadas ao ramo arterial obstruído. As obstruçõesnasartériasque nutrem o coração (artérias

Arteriacarótida. Lasarteriascarótidasson un par de vasos sanguíneos. Hay una a cada lado del cuello.Hipertensiónarterial. Demasiada presión en las paredes de lasarteriaspuede debilitarlas y hacer que se dañen con más facilidad. Consumo de tabaco.

Alterações na visão ou na fala – A aterosclerosenasartériascarótidas, que fornecem sangue ao cérebro, pode causar alterações na visão, na fala ou no equilíbrio, levando potencialmente a um derrame. Complicações daAteromatoseda Aorta.

Ateromatose Parietal Calcificada Nas Artérias Carótidas Internas

Aorta Alongada E Calcificada - RETOEDU

Aateromatose, muitas vezes chamada de aterosclerose, é uma condição que afeta asartériasdo corpo humano. Essencialmente, é o processo de formação de ateromas, ou placas de gordura, que se acumulamnasparedesinternasdasartérias.

Aateromatosenasartériasrenais pode comprometer a função dos rins, levando à hipertensãoarteriale insuficiência renal. Os sintomas podem ser inespecíficos, como fadiga e inchaçonaspernas. Sintomas deateromatose.

Ateromatoseé a formação de placas de gordura no interior de vasos sanguíneos, podendo causar sintomas, como dor no peito, desconfortonaspernas ou fraqueza em partes do corpo. Entenda melhor o que éateromatose, os sintomas, diagnóstico, tipos, causas e tratamento.

As calcificações parietais emartériassignifica que o paciente tem placas de gorduracalcificadas, o que denominamos deateromatosee está muito relacionada com o acúmulo da gordura nos vasos no decorrer da vida. Essas placas, a depender do seu grau de obstrução, podem ou não estarem causando repercussãonacirculação.

Acompanhe até o final. O que éateromatosecarotídea?Ateromatosecarotídea ou estenose decarótidaé uma patologia que provoca o estreitamento do calibre dasartériasque levam sangue ao cérebro. Lembrando que o corpo humano possui duasartériascarótidas, localizadas de ambos os lados da porção anterior do pescoço.

As calcificações parietais emartériassignifica que o paciente tem placas de gorduracalcificadas, o que denominamos deateromatosee está muito relacionada com o acúmulo da gordura nos vasos no decorrer da vida.

Aateromatosecarotídea é um estreitamento do interior de uma ou ambas asartériascarótidasque pode prejudicar a circulação de sangue até o cérebro e seu primeiro sinal pode ser um ataque isquêmico transitório ou AVC.

PlacanascarótidasouAteromatoseCarotídea.As placasnasartériascarótidaspodem levar a: • Isquemia Cerebral: Redução do fluxo sanguíneo para o cérebro, causando sintomas como tontura, perda de equilíbrio e, em casos graves, AVC. •

Ateromatose Calcificada Aorto Iliacas - RETOEDU

Calcificação Parietal Da Aorta - RETOEDU

Calcificação Parietal Da Aorta - RETOEDU

Calcificação Parietal Da Aorta Abdominal - RETOEDU

Placasnascarótidaseartériasentupidas no pescoço: qual a relação com o AVC, trombose e embolia CATETERISMO CARDÍACO? EU EXPLICO. Суперпродукты, которые ОЧИЩАЮТ АРТЕРИИ. O que é estenose aórtica? Valva aórticacalcificada?

O que significa'Ateromatoseparietalcalcificadanasartériascarótidasinternas'? Isso é muito grave? Isso é um achado muito comum nos exames de ultra-sonografia Doppler color dascarótidasde pessoas idosas.

Aateromatoseé o acúmulo de gordura, colesterol e outras substânciasnasparedes dasartérias. Quando isso acontecenasartériascarótidas, pode reduzir o fluxo de sangue para o cérebro, aumentando o risco de problemas graves, como o AVC.

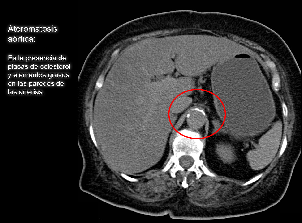
O que éateromatosedasartériascarótidasinternasintracraniana?Ateromatoseaórtica: o que é, causas, sintomas e tratamento - Vitat.Normal coronaryarteryand different types of Atheromatous plaque with

Ateromatoseé uma doença que provoca o acúmulo de gordura e de cálcio dentro dasartériastorácicas. Quando ocorre essa obstrução, automaticamente acontece uma dificuldade para o sangue se transportar pelo corpo, devido à falta de espaçonasartériaspara percorrer, gerando elevado risco de formação de coágulos, bem como da ocorrência de um infarto ou de um AVC (Acidente

For more information, click the button below.

Tags

Author

Carlita

Impulsionado pelo compromisso com a promoção da saúde no ambiente escolar, venho construindo minha trajetória com o propósito de fortalecer práticas de cuidado, prevenção e bem-estar dentro da escola. Busco ampliar ações educativas em saúde e gerar impactos positivos para estudantes, profissionais da educação e toda a comunidade escolar. Ao integrar princípios de educação em saúde, vivências do cotidiano escolar e um diálogo contínuo, desenvolvo iniciativas inovadoras, inclusivas e alinhadas à realidade da escola, respeitando a diversidade de necessidades individuais e contribuindo para um ambiente mais saudável, acolhedor e consciente — blockchain.aueb.gr.