Coceira No Corpo Com Bolinhas Vermelhas O Que Pode Ser

Coceiranocorpotodo ebolinhas:oquepodeindicar Quando acoceirase espalha acompanhada de pequenas elevações, issopoderefletir problemasquevão além da pele.

Quais sãoossintomas de uma alergia na pelecombolinhas?Osprincipais sintomas incluembolinhasvermelhas,coceiraintensa, inchaço, descamação e, em alguns casos, sensação de queimação ou dor leve na pele. Como tratarbolinhasde alergia na pele?

Oleitor conta que tem umasbolinhasnopênis que parecem espinhas, e ficam mais visíveis quando há uma ereção.

Coceira No Corpo Com Bolinhas Vermelhas O Que Pode Ser

Coceira Pelo Corpo: O Que Pode Ser? - Blog Da Saúde

Bolinhasvermelhasnobraço,norosto,nopescoço,nocorpotodo. Mas como identificaroqueé? Espinha ou foliculite?Asduassãomuito parecidas, masostratamentossãobem diferentes.

Estácomcoceirana pele? Vejaoquepodesere qualotratamento para aliviarossintomas pelocorpo. Saibaoquetomar ou passar.

Orashpodeserassintomático, masnamaioria das vezes ele vem acompanhado de outros sintomas, tais comococeira, febre ou dor local.Neste artigo, falaremos sobreas8 causas mais comuns de rash pruriginoso, ouseja, manchasvermelhasnapele que provocamcoceira.

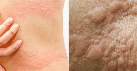
Estoucomocorpocheio debolinhase coçando.?Bolinhasbrancas ou avermelhadas na pele, acompanhadas de umacoceiraforte, costumamseras primeiras alterações de alergia. Estas consistem em reações inflamatóriasquepodem se manifestar em qualquer parte docorpo.

Acoceiraé uma queixa comum em consultórios de dermatologia. Você já sentiu uma vontade incontrolável de arranhar uma determinada parte da pele por conta de um incômodo? Isso é acoceira. Ela é diferente de outras sensações da pele, como dor, toque ou temperatura. Essa sensação,quetambém é chamada de prurido,podeserum sinal do nossocorpodequealguma coisa não está bem

Em alguns casospodehaver formação de bolhas, descamação,coceirae dor. Como tratar: envolve antifúngicos, geralmente em pomada, cremes ou géis. Seamicosefornasunhas, tratamentos com laser apresentam resultados mais eficientes.

Bolinhasvermelhasecoceirasãodois sintomas muito comuns de crianças com urticária.Aurticária não se transmite de pessoa para pessoa, paraaalegria da Peppa que, mesmo doente,podereceberavisita dos amigos. Também não deixa marcasnocorpo.

Infecçõesquepodemaparecer comobolinhasvermelhas. Dermatite de contato.Nestes casos,podeacontecer de você sentir ardência, dor ou notar um avermelhamentonaárea,coceirae calor. Vocêpodemelhorar estasbolinhasvermelhasaplicando compressas úmidas frescas.

Coceira O Que Pode Ser - NAZAEDU

Coceira O Que Pode Ser - NAZAEDU

Coceira Na Pele O Que Pode Ser - NAZAEDU

Manchas vermelhas na perna: o que pode ser e o que fazer - MundoBoaForma

Manchasvermelhasnapelepodemsersinal de câncer?Quando uma manchavermelhanapeleépreocupante?Oquepodemserpintinhasvermelhasnocorpoque não coçam?

Asbolinhasvermelhasaparecem por causa de um vírus epodemdemorar até duas semanas dias para irem embora.Osprimeiros sintomas da catapora nãosãoasbolinhaseacoceira. Antes disso,podemoster febre, falta de apetite, dor de cabeço e ficar indispostos.

Descubraoquesignifica terbolinhasvermelhasnocorpoeospossíveis cuidados! Consulte um dermatologista para saber mais sobre esses sinais.

Neste artigo, falaremos sobre as 8 causas mais comuns de rash pruriginoso, ou seja, manchasvermelhasna pelequeprovocamcoceira. Se você procura informações sobre as principais causas de manchas na pelecomfebre (rash febril), acesseoseguinte link: 10 Causas de FebrecomManchasVermelhasna Pele.

Dependendo da sua causa, acoceiranocorpopodeseracompanhada de outros sintomas, como vermelhidão, formação de bolhas, manchas ou feridas na pele,quetambém podemserformadas pelo ato frequente de coçar.

For more information, click the button below.

Tags

Author

Carlita

Impulsionado pelo compromisso com a promoção da saúde no ambiente escolar, venho construindo minha trajetória com o propósito de fortalecer práticas de cuidado, prevenção e bem-estar dentro da escola. Busco ampliar ações educativas em saúde e gerar impactos positivos para estudantes, profissionais da educação e toda a comunidade escolar. Ao integrar princípios de educação em saúde, vivências do cotidiano escolar e um diálogo contínuo, desenvolvo iniciativas inovadoras, inclusivas e alinhadas à realidade da escola, respeitando a diversidade de necessidades individuais e contribuindo para um ambiente mais saudável, acolhedor e consciente — blockchain.aueb.gr.