Ressonância Magnética De Bacia Pelve Abdômen Inferior

Aressonânciamagnéticado abdomeinferioré um excelente exame para avaliação das condições patológicas dapelveoubaciademaneira não invasiva e indolor atravésdeum campo magnético muito forte e da radiofrequência para fazer com que os hidrogênios presentes no corpo emitam um sinal que é captado por antenas próximas à

Ressonânciamagnéticadoabdômensuperior: estuda fígado, vesícula biliar, estômago, pâncreas, apêndice, baço, rins, glândulas suprarrenais e intestino, permitindo o diagnóstico de anomalias como abscessos, perfurações de vísceras, apendicite, colecistite (pedra na vesícula), cirrose

RessonânciaMagnéticadePelve, você já fez esse exame? #ressonanciamagnetica#maternidade #tentante #endometrioseRessonânciaMagnéticadePelve: Entenda o Exame. Saiba tudo sobre aressonânciamagnéticadepelvee sua importância para a saúde.

Ressonância Magnética De Bacia Pelve Abdômen Inferior

DICAS DE RADIOLOGIA - Tudo Sobre Radiologia: RAIO X DA PELVE (BACIA

Usualmente, a RM dapelve(abdômeninferior) é realizada simultaneamente com a RM abdominal (abdômensuperior), passando o exame a denominar-se por RMabdômentotal. Ou seja, são avaliados oabdômensuperior einferiorno mesmo momento do exame.

A bexiga precisa estar com médio enchimento para aressonânciamagnéticadapelve; assim, geralmente é recomendado ficar pelo menos uma hora sem urinar antes do exame. Contraindicações Existem alguns pacientes que não devem realizar examesderessonânciamagnéticapélvica com contraste, a não ser por expressa indicação médica

Ressonânciamagnética,pelvemasculina.- Trata-se de exame deressonânciamagnéticadapelvemasculina. II - Critérios de realização. - Este exame é realizado somente com solicitação médica.

Vir para o exame sem joias, brincos e pulseiras, a retiradadepiercings, será necessária; Estar sem maquiagens; Estar com cabelos secos, sem usodegel ou cremes; Não é recomendado que indivíduos com tatuagens recentes, maquiagem definitiva ou micropigmentações, feitas nos últimos 15 dias, sejam submetidos àressonânciamagnética.

Ressonânciado AbdomeInferiorRessonânciadaPelveRessonânciaMagnéticaé um exame que pode ser realizado em qualquer parte do corpo humano, com imagens formadas utilizando ondas eletromagnéticas, sem usoderadiação ionizante,deforma segura e indolor. Durante o exame o paciente fica deitado, e a parte do corpo que será examinada é então posicionada dentrodeum túnel aberto

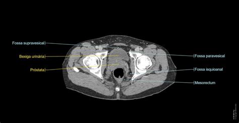
Aressonânciamagnéticadapelveé um exame indolor que possibilita a visualizaçãodeestruturas anatômicas como ossos e músculos sem necessidadedeprocedimentos cirúrgicos e, portanto, menos invasiva. O procedimento estuda as estruturas anatômicas que compõem apelve, como o útero (nas mulheres), a próstata (nos homens), a bexiga, o cólon e o reto, além dos músculos e ossos

O procedimento 0207030022 refere-se àRessonânciaMagnéticadeBacia,PelveeAbdômenInferior, um exame crucial para o diagnóstico de diversas condições clínicas.

Especificamente, aressonânciamagnéticadapelveé útil na avaliação de condições pélvicas, como miomas, infertilidade e até mesmo alguns tipos de câncer.

Pelve feminina : anatomia normal | e-Anatomy

Abdômen - Pelve : anatomia normal | e-Anatomy

Abdômen - Pelve : anatomia normal | e-Anatomy

Abertura Superior Da Pelve - RETOEDU

Se houverem quadros alérgicos em exames anterioresderessonânciamagnéticacom usodecontraste, favor entrar em contato conosco. Recomenda-se estar com os cabelos secos, sem usodegel ou creme, sem maquiagem ou qualquer outro cosmético em qualquer parte do corpo. Preparo para este exame: 4 horasdejejum. Manter apenas hidratação com

Ressonânciamagnéticadepelve: como é feito o exame? Um exame não invasivo cujo objetivo é auxiliar na detecção e caracterizaçãodediversas condições pélvicas: essa é aressonânciamagnéticadapelve. Continue a leitura e saiba mais sobre o procedimento.

Ressonânciamagneticaabdomeinferior. excelente exame para avaliação das condições patológicas dapelveoubaciade maneira não invasiva e indolor.

Quando um médico precisadeuma análise detalhada da região do abdomeinferior, é necessário realizar aressonânciamagnéticadapelveou pélvica. Neste post vamos explicar como funciona aressonânciamagnéticadapelve, o que ela detecta, como se preparar e o pós-exame.

O procedimento 0207030022 refere-se àRessonânciaMagnéticadeBacia,PelveeAbdômenInferior, um exame crucial para o diagnósticodediversas condições clínicas. Utilizando um forte campo magnético e ondasderádio, este exame gera imagensdealta definição dos órgãos internos, permitindo uma avaliação detalhada sem o usoderadiação. É uma ferramenta essencial para

For more information, click the button below.

Tags

Author

Carlita

Impulsionado pelo compromisso com a promoção da saúde no ambiente escolar, venho construindo minha trajetória com o propósito de fortalecer práticas de cuidado, prevenção e bem-estar dentro da escola. Busco ampliar ações educativas em saúde e gerar impactos positivos para estudantes, profissionais da educação e toda a comunidade escolar. Ao integrar princípios de educação em saúde, vivências do cotidiano escolar e um diálogo contínuo, desenvolvo iniciativas inovadoras, inclusivas e alinhadas à realidade da escola, respeitando a diversidade de necessidades individuais e contribuindo para um ambiente mais saudável, acolhedor e consciente — blockchain.aueb.gr.